Traitement lombalgie ostéopathe Marseille 13001

Traitement lombalgie ostéopathe Marseille 13001
ostéopathe pour enfant Marseille

Ostéopathe Marseille pour infection chronique à répétition dans le cadre de bronchite, otite, rhinite, sinusite, voire d’asthme pour enfant

Ostéopathe à Marseille, spécialisé en pédiatrie, prend en charge les infections chroniques à répétition chez l'enfant : bronchites, otites, sinusites, rhinites, asthme. Grâce à des techniques ostéopathiques adaptées, il aide à réduire l’intensité et la fréquence des crises. Prenez rendez-vous dès maintenant pour soulager votre enfant.
En savoir plus
ostéopathe pour une lombalgie Marseille 13001

Ostéopathe pour lombalgie diffuse chez l'adulte à Marseille

Ostéopathe Marseille reçoit ce jour une jeune patiente souffrant de lombalgie diffuse en bar au niveau du bas du dos dans notre cabinet situé au 17 rue Venture dans le premier arrondissement de Marseille. Une prise en charge spécifique ostéopathique sur les lombalgies va permettre d’apporter un r...
En savoir plus
ostéo spécialisé chez les bébés ou nourrissons à Marseille 13009

Ostéopathe pour nourrisson ou bébé avec reflux gastro-œsophagien à Marseille

Ostéopathe à Marseille, spécialisé en pédiatrie, prend en charge les reflux gastro-œsophagiens chez le nourrisson. Grâce à des techniques ostéopathiques adaptées, il aide à soulager les douleurs et vomissements liés à ce trouble. Prenez rendez-vous dès maintenant pour un suivi personnalisé dans l’un de nos cabinets à Marseille.
En savoir plus
place

Nos prestations sur le secteur de Marseille 13001

ostéo pour douleurs cervicales Marseille

Ostéopathe Marseille et prise en charge d’un jeune adulte, souffrant de douleurs cervicales, de maux de tête, de vertiges, suite à une chute, dans notre cabinet, De Marseille 9eme

Ostéopathe, Marseille prend en charge un jeune adulte, souffrant de douleurs au niveau cervicales, de violents, maux de tête, de vertiges, suite à une chute en trial moto ce week-end. Ce patient est pris en charge d’un autre cabinet du Cabot, situé dans le neuvième arrondissement de De Marsei...
En savoir plus
ostéopathe pour serrage de Mâchoire à Marseille Le Cabot

ostéopathe pour serrage de Mâchoire à Marseille Le Cabot

Osteo Marseille à réalisée une consultation pour le serrage de Mâchoire dans son cabinet au Cabot.    La patiente à été envoyé par son dentiste suite à des descellements de couronnes. Nous avons donc commencé a travailler sur le serrage de sa mâchoire pour pallier à ce problème.    Vous êtes i...
En savoir plus
center_focus_strong

Notre zone d'activité pour ce service Traitement lombalgie ostéopathe

ostéopathe pour douleur cervicale Marseille

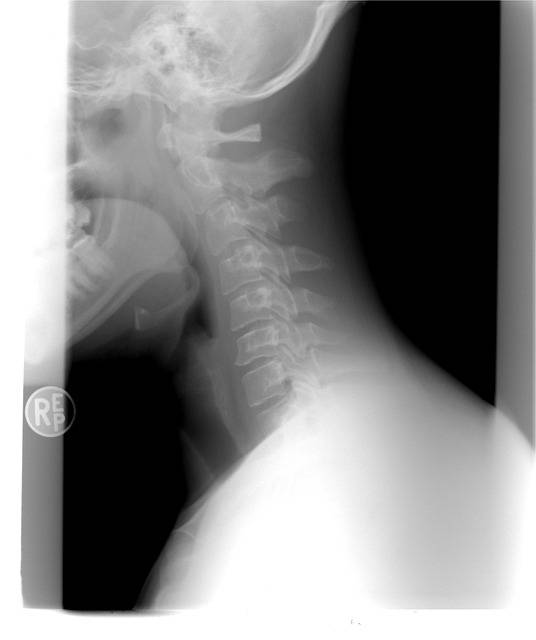
Ostéopathe Marseille, pour un adulte souffrant de traumatisme au niveau cervical, d’un coût du lapin, dans notre cabinet du Cabot dans le 9eme à Marseille.

Ostéopathe Marseille, reçoit ce jour un jeune patient souffrant de douleurs importantes au niveau des cervicales et de la base du crâne, d’un coup du lapin, dans notre cabinet du Cabot, situé dans le neuvième arrondissement de Marseille. Une prise en charge spécifique post-traumatique au niveau d...
En savoir plus

Découvrez les bienfaits de l'ostéopathie avec Ostéo Marseille, votre cabinet de référence à Marseille 13001. Ces séances sont idéales pour un athlète cherchant à améliorer vos performances, une femme enceinte cherchant à soulager les inconforts liés à la grossesse, ou un senior cherchant à maintenir votre mobilité, nous avons les compétences et l'expertise pour vous aider.

 

Faites confiance à Ostéo Marseille à Marseille 13001 pour vous accompagner dans votre parcours de santé. Prenez rendez-vous dès aujourd'hui pour découvrir comment l'ostéopathie peut améliorer votre qualité de vie.

Prenez Rendez-vous
Les champs indiqués par un astérisque (*) sont obligatoires
Nos partenaires

Coworking Salle de réunion pour professionnels Marseille dans les Bouches du Rhône Maison Bohème Coworking.

Votre cabinet d’ostéopathie à Marseille recommande Maison Bohème Coworking pour réunions, formations et ateliers. Salle équipée et flexible. Réservez dès maintenant.
En savoir plus
Agence web Marseille - création site internet - référencement Marseille Jalis

Agence de développement web spécialisée dans la mise en place de stratégie de communication digitale pour la santé, du bien-être et de l'esthétisme Marseille, Guidejalis.com..

Vous souhaitez contacter un atelier de conception web pour vous permettre le développement de sites internet ? N’hésitez pas à découvrir notre partenaire L’agence de communication digitale Jalis et son équipe de professionnels du digital..
En savoir plus

Infirmier libéral à domicile pour suivi glycémique de patient diabétique Marseille dans les Bouches du Rhône Cabinet Prado.

Ostéo Marseille votre cabinet d'ostéopathie spécialisé dans le traitement des douleurs et des maladies chroniques à Marseille vous reçoit dans 3 cabinets en centre ville.   La cabinet Ostéo Marseille vous recommande le Cabinet Prado pour le suivi de patients diabétiques, vous cherchez un infirmi...
En savoir plus
Professionnalisme
Professionnalisme
3 cabinets à Marseille
3 cabinets à Marseille
à domicile
à domicile
urgence 7j/7 et 24h/24
urgence 7j/7 et 24h/24
Prenez Rendez-vous