Séance d'ostéopathie femme enceinte à Marseille 13001

Séance d'ostéopathie femme enceinte à Marseille 13001
Ostéopathe Marseille et entorse à répétition au niveau de la cheville droite chez un sportif, dans notre cabinet du centre-ville, de la rue Venture à Marseille.

Ostéopathe Marseille et entorse à répétition au niveau de la cheville droite chez un sportif, dans notre cabinet du centre-ville, de la rue Venture à Marseille.

Ostéopathe Marseille, reçoit ce jour un jeune sportif, souffrant d’entorse à répétition au niveau de la cheville droite, d’un autre cabinet et du centre-ville, de la rue VENTURE, situé dans le premier arrondissement de Marseille. Une prise en charge spécifique sur les sportifs, va permettre de tr...
En savoir plus
 ostéopathe de confiance spécialisé dans le traitement des femmes enceintes  Marseille

Chadi Younes ostéopathe de confiance spécialisé dans le traitement des femmes enceintes et des nourrissons à Marseille

Chadi Younes, un nom synonyme d'excellence dans le domaine de l'ostéopathie à Marseille. Ce praticien de renom est réputé pour sa spécialisation exceptionnelle dans le traitement des femmes enceintes et des nourrissons. Au cœur du centre-ville de Marseille, Chadi Younes déploie son expertise avec ...
En savoir plus
 Ostéo Marseille et tendinite du coude à Marseille centre-ville

Ostéo Marseille et tendinite du coude à Marseille centre-ville

OSTEO Marseille reçoit ce jour un jeune adulte, souffrant de tendinite au niveau du coude gauche, d’une épicondylite, dans notre cabinet du centre-ville de la rue VENTURE à Marseille.Une prise en charge spécifique sur les tendinite va permettre de diminuer les douleurs du patient et restaurer sa m...
En savoir plus
place

Nos prestations sur le secteur de Marseille 13001

ostéopathe pour adolescent avec une scoliose Marseille

Ostéopathe et douleurs de dos chez un jeune adolescent de 15 ans, présentant une double scoliose au niveau dorsale et lombaires

Osteo, Marseille, reçois ce jour un adolescent de 15 ans, présentant de fortes douleurs, rachidienne, dans tout le dos, dans le cadre d’une scoliose majeur, pour une séance d’ostéopathie, d’un autre cabinet du centre-ville, du sixième arrondissement de Marseille, rue Mongrand. Un traitement ostéo...
En savoir plus
Ostéopathe pour suivi Orthodontiste pour un enfant Marseille 13009 le Cabot

Ostéopathe Marseille pour suivi Orthodontiste pour un enfant en plein traitement de rééducation Orthodontiste à Marseille

Ostéopathe Marseille prend en charge un jeune enfant en soins d’orthodontie dans notre cabinet du Cabot, situé à Marseille neuvième arrondissement. Une prise en charge ostéopathique spécifique pédiatrique au niveau orthodontique va permettre de suivre et d’accompagner un traitement orthodontique ...
En savoir plus
center_focus_strong

Notre zone d'activité pour ce service Séance d'ostéopathie femme enceinte à

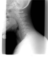
Ostéopathe pour problématique de cervicale à Marseille 1er

Ostéopathe pour problématique de cervicale à Marseille 1er

Ostéo Marseille, votre partenaire de confiance pour les problématiques cervicales à Marseille 1er. Notre expertise en ostéopathie nous permet de vous offrir des solutions efficaces et personnalisées pour soulager vos douleurs et améliorer votre mobilité. Grâce à notre approche globale et notre co...
En savoir plus

Découvrez les bienfaits de l'ostéopathie avec Ostéo Marseille, votre cabinet de référence à Marseille 13001. Ces séances sont idéales pour un athlète cherchant à améliorer vos performances, une femme enceinte cherchant à soulager les inconforts liés à la grossesse, ou un senior cherchant à maintenir votre mobilité, nous avons les compétences et l'expertise pour vous aider.

 

Faites confiance à Ostéo Marseille à Marseille 13001 pour vous accompagner dans votre parcours de santé. Prenez rendez-vous dès aujourd'hui pour découvrir comment l'ostéopathie peut améliorer votre qualité de vie.

Prenez Rendez-vous
Les champs indiqués par un astérisque (*) sont obligatoires
Nos partenaires
Agence web Marseille - création site internet - référencement Marseille Jalis

Agence de développement web spécialisée dans la mise en place de stratégie de communication digitale pour la santé, du bien-être et de l'esthétisme Marseille, Guidejalis.com..

Vous souhaitez contacter un atelier de conception web pour vous permettre le développement de sites internet ? N’hésitez pas à découvrir notre partenaire L’agence de communication digitale Jalis et son équipe de professionnels du digital..
En savoir plus

Pharmacie Marseille 9eme Bellefontaine.

Notre cabinet Osteo marseille vous propose la Pharmacie Lafayette Belfontaine, située dans le 9eme arrondissement de Marseille .    11 Bd du Redon 13009 Marseille TÉL : 04 91 82 01 46
En savoir plus
matériel d'orthopédie Marseille en pharmacie

Pharmacie spécialisée dans le matériel d'orthopédie à Marseille 13012 Pharmacie du Petit Bosquet.

Notre cabinet d'ostéopathie à Marseille, vous propose les coordonnées de la pharmacie du Petit Bosquet à Marseille, cette pharmacie est notamment spécialisée dans le matériel d'orthopédie.   Pharmacie du Petit Bosquet : 243 Avenue de Montolivet,13012 Marseill...
En savoir plus
Professionnalisme
Professionnalisme
3 cabinets à Marseille
3 cabinets à Marseille
à domicile
à domicile
urgence 7j/7 et 24h/24
urgence 7j/7 et 24h/24
Prenez Rendez-vous